به روز شده در: ۱۹ آذر ۱۴۰۴ - ۱۳:۰۸
کد خبر: ۴۹۳۰۱۲
تاریخ انتشار: ۱۳:۳۰ - ۰۲ شهريور ۱۴۰۰

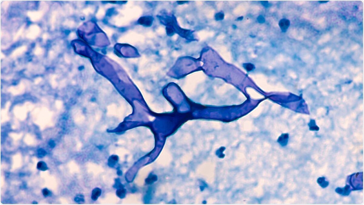
هشدار یک متخصص: داروی عفونت "قارچ سیاه" نایاب شد

روزنو :محمدرضا صالحی گفت: اکنون برخی بیماران کووید ۱۹ دچار بیماری قارچی به ویژه قارچ سیاه شده اند که در صورت تأمین نشدن داروی "آمفوتریسین B"، کور خواهند شد

هشدار یک متخصص: داروی عفونت

روز نو :صدا و سیما: متخصص عفونی بیمارستان امام خمینی (ره)، درباره افزایش بیماران کرونایی درگیر عفونت قارچ سیاه هشدار داد.

محمدرضا صالحی گفت: اکنون برخی بیماران کووید ۱۹ دچار بیماری قارچی به ویژه قارچ سیاه شده اند که در صورت تأمین نشدن داروی "آمفوتریسین B"، کور خواهند شد.

وی افزود: این دارو اکنون نایاب است و ۱۰ نفر در بیمارستان امام خمینی (ره) که به این قارچ مبتلا شده اند نیاز فوری به داروی آمفوتریسین B دارند.

تصویر روز
خبر های روز